Dermatologia clinica veterinaria

Centro Dermatologico Veterinario Siciliano.

Competenza scientifica e innovazione tecnologica a supporto della dermatologia del cane e del gatto.

Logo CDVet

Consulente scientifico

Logo PetLab

Consulente scientifico

Curriculum

Dr. Luigi Emiliano Maria Zumbo

Medico veterinario con alto profilo di competenze in dermatologia clinica con base a Palermo, consulente scientifico per strutture e aziende in tutta Italia.

Ci occupiamo di proteggere e preservare la vita e il benessere: ogni percorso diagnostico e terapeutico è personalizzato sul paziente e sul suo nucleo familiare.

Formazione

  • Laurea con lode in Medicina Veterinaria presso l’Università di Messina
  • Specializzazione con lode presso l’Università di Messina
  • Executive Master in dermatologia clinica UNISVET Milano
  • Dottorando di ricerca presso l’Università degli Studi di Palermo

Attività clinica dermatologica

  • Dermatologia clinica
  • Video otoscopia digitale
  • Dermatoscopia
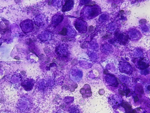
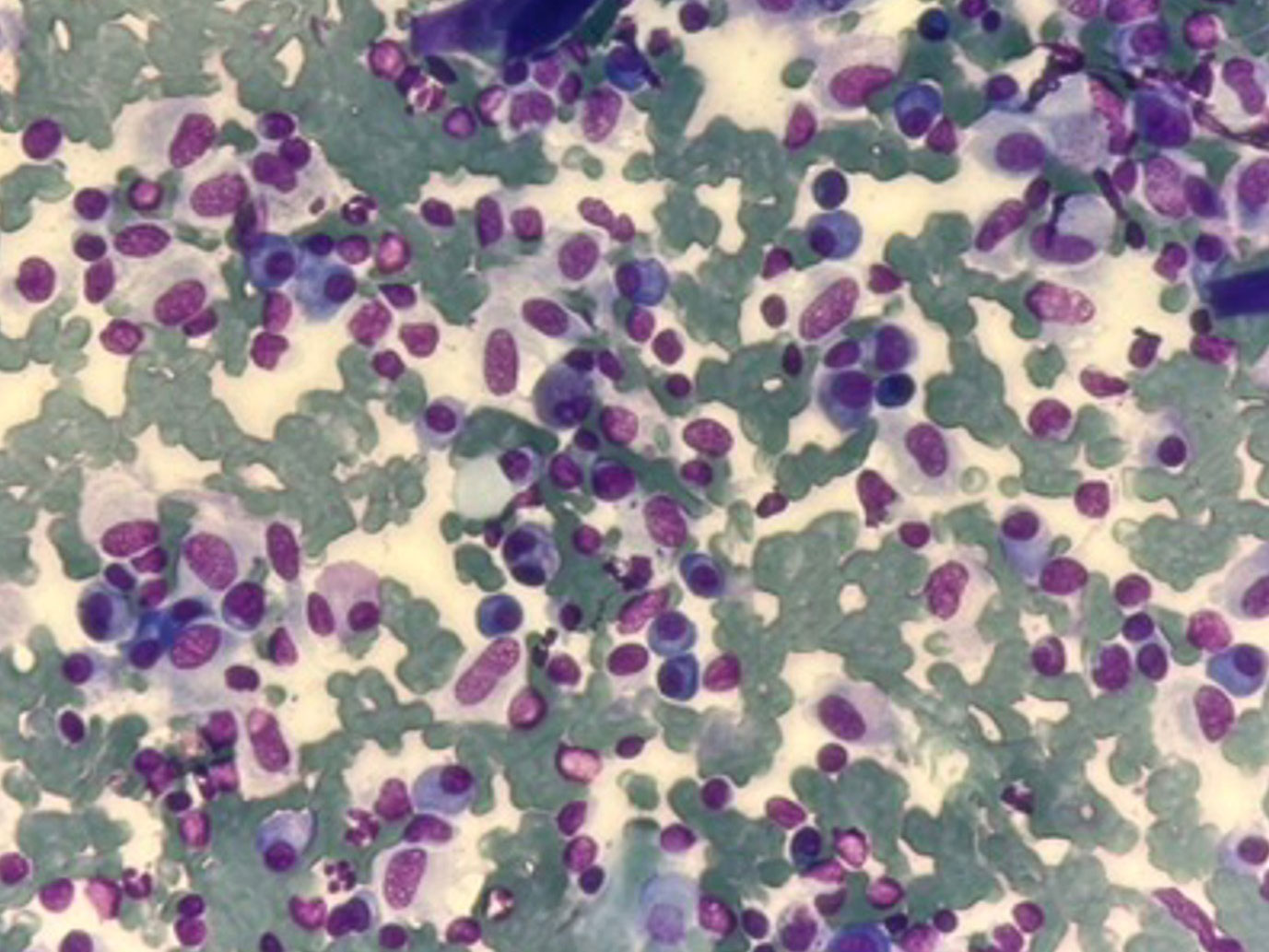
  • Citologia dermatologica
  • Laser terapia e fotobiomodulazione a fluorescenza
  • Teledermatologia per strutture veterinarie

Key Opinion Leader

  • Relatore in congressi nazionali e internazionali
  • Autore e co-autore di pubblicazioni scientifiche
  • Consulente scientifico per CDVet e PetLab
  • Supporto dermatologico per aziende farmaceutiche, nutraceutiche e di integrazione alimentare
  • Membro per l’Italia dello Statutory Body Working Group della Federation of Veterinarians of Europe

Rete professionale

  • Referente per dermatologia clinica e citologia in strutture di Agrigento, Caltanissetta, Catania, Enna, Palermo e Trapani
  • Membro ESVD (European Society of Veterinary Dermatology)
  • Membro SIDEV (Società Italiana di Dermatologia)
Centro Dermatologico Veterinario Siciliano

Centro Dermatologico Veterinario Siciliano

Guarda i video
Prestazioni dermatologiche

La cute è l’organo più esteso: racconta lo stato di salute del tuo animale.

La diagnosi e la terapia delle patologie dermatologiche richiedono competenze costantemente aggiornate, studio clinico e tecnologie innovative dedicate.

VD

Visite dermatologiche dedicate

Valutazione clinica completa, documentazione fotografica e follow-up personalizzato.

DS

Dermatoscopia

Analisi in vivo delle lesioni cutanee per definire diagnosi tempestive e mirate.

CY

Citologia dermatologica

Interpretazione citologica avanzata per identificare la natura delle patologie.

BX

Biopsie della cute

Prelievi mirati con protocolli istopatologici condivisi con laboratori qualificati.

CT

Esami colturali per dermatofiti

Diagnostica microbiologica di supporto per un corretto piano terapeutico.

VO

Video otoscopia digitale

Visualizzazione ad alta definizione del condotto uditivo con registrazione delle procedure.

FL

Laser terapia & fotobiomodulazione

Terapie con laser a diodi e fluorescenza per accelerare i processi di guarigione.

LC

Chirurgia dermatologica

Interventi con laser chirurgico per trattamenti mini-invasivi e tempi di recupero ridotti.

Guarda le attività

Esperienze e casi clinici dal Centro Dermatologico

Una selezione di procedure, formazione e momenti dal laboratorio: diagnostica citologica, terapie e ricerca costante per i pazienti dermatologici.

Appuntamenti

Prenota una valutazione dermatologica

Scegli il giorno e l’orario preferiti. Ti ricontatteremo per confermare la visita e raccogliere eventuali informazioni utili.

I tuoi dati saranno trattati nel rispetto del GDPR (Regolamento UE 2016/679). Consulta la nostra Privacy Policy per maggiori informazioni.

Contatti

Come raggiungere il Centro Dermatologico

Siamo a Palermo, in Via Aquileia 34 D. Contattaci per informazioni, appuntamenti o consulenze dedicate alle strutture veterinarie.

Invia un messaggio

I tuoi dati saranno trattati nel rispetto del GDPR. Privacy Policy

Indirizzo

Via Aquileia 34 D, 90144 Palermo (PA)

Orari

Lunedì - Venerdì: 09:00 - 13:00 / 14:00 - 19:00

Sabato: 09:00 - 13:00

Domenica: chiuso